Theorie:
Wenn sich eine Zelle vermehrt, also teilt, wird die gespeicherte Erbinformation an beide neuen Zellen weitergegeben. Dafür verdoppelt sich die DNA.
Im ersten Schritt wird die Doppelhelix durch das Enzym Helicase auftrennt. Jeder der Einzelstränge dient nun als Vorlage für einen komplementären Strang. Verdoppelt wird jeder Strang mit Hilfe des Enzyms DNA Polymerase. Diese lagert die jeweils passende neue Base an die Base im Vorlagenstrang. Zuletzt stellt eine Ligase die Verbindungen zwischen den Basen her. Das Ergebnis sind zwei idente Kopien der ursprünglichen DNA.

Die Fehlerrate, mit der die DNA Replikation behaftet ist, ist äußerst gering. Zellen haben zusätzliche Kontroll- und Reparaturmechanismen. Auch die DNA Polymerase kann falsch gepaarte Basenpaare erkennen und reparieren.
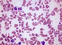
Sprunghafte Veränderungen der genetischen Information nennt man Mutationen. Je nachdem welcher Bereich der DNA betroffen ist, können Mutationen garkeine bis gravierende Folgen haben. Sie können zu Krankheiten führen, wie der Sichelzellenanämie bei den roten Blutkörperchen, aber auch einen Evolutionsvorteil bringen.
![]() | ![]() |
| Punktmutationen können die Farbänderung eines Blütenblatts bewirken... | ... aber auch zu schwerwiegenden Krankheiten wie der Sichelzellenanämie führen. |
Quellen:
https://commons.wikimedia.org/wiki/File:DNA_replication_de.svg (29.07.2016)
https://commons.wikimedia.org/wiki/File:Darwin_Hybrid_Tulip_Mutation_2014-05-01.jpg (29.07.2016)
https://commons.wikimedia.org/wiki/File:Sikkel2.jpg (29.07.2016)

